Le plus grand écran tactile complet de l'industrie21,3 pouces
Anti - éblouissement, pleine taille, haute sensibilité
Panneau de contrôle simplifié
Capteur d'empreintes digitales intégré et trackball fluide
Le plus grand écran tactile complet de l'industrie21,3 pouces
Prise en charge de la désinfection liquide
Fonctionnement multi-touch
Panneau minimal pour la personnalisation clinique
Anti-éclaboussures
Trackball étanche haute sensibilité
Joystick multifonction
Ascenseur électrique de taille avec un bouton
Portée 20cm
Moteur durable et silencieux
Batterie de secours toute la journée
Durée de vie de la batterie extrêmement longue
Écran d'affichage de l'heure indépendant
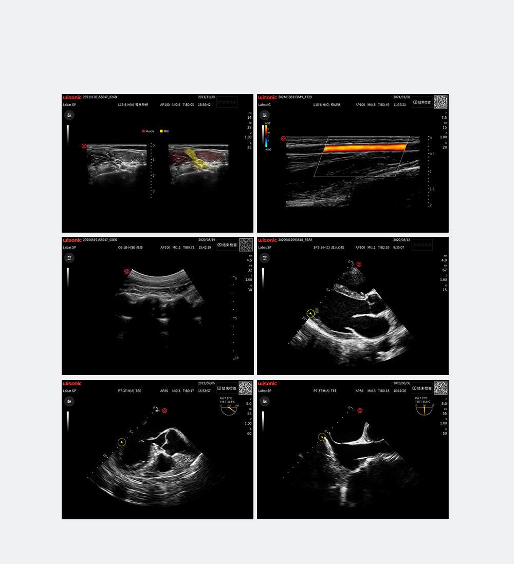
wiNerve
Reconnaissance intelligente des nerfs par IA
Reconnaissance en temps réel
Solution Cloud
Soutenir plusieurs nerfs
wiShow - Enseignement de l'enregistrement
Prise en charge de la caméra en direct USB.
Enregistrez simultanément le geste,
les images ultrasonores et la voix pendant l'échographie
Enseignement du projecteur sur site pour un enregistrement
de longue durée.
Technologie de suivi d'aiguille magnétique - wiGuide
Prend en charge la poncture dans le plan et hors du plan
Positionnement en temps réel
Directives graphiques 3D spatiales en temps réel
wiNeedle - Technologie
intelligente d'amélioration de l'aiguille
Orientation automatique du faisceau
Détection intelligente de la pointe de l'aiguille et de la tige
Système de navigation - wiLaser
Localisation précise pendant la procédure
Famille de sondes Labat
Sondes à gamme complète pour des applications polyvalentes
Excellentes images cliniques
1
Photos d'applications
Photos du produit
1
1
1
Se connecter
Enregistrement
Vous avez un compte?Se connecter
Postuler pour un emploi